What Are Fastbraces?
Fastbraces are a modern orthodontic treatment designed to straighten teeth more efficiently than traditional braces. Unlike conventional braces, which typically focus on aligning teeth first and then adjusting the roots, Fastbraces work on both the teeth and the roots simultaneously. This innovative approach helps to reduce treatment time significantly, often completing the process in as little as 3 to 12 months.
How Do Fastbraces Work?
Fastbraces utilize a unique triangular bracket design and a special type of wire, which creates a more effective force on the teeth. Here’s a breakdown of their functionality:
- Triangular Bracket Design: The brackets are shaped in a way that allows for greater movement of the tooth roots right from the start of treatment.
- Flexible Wires: The wires used in Fastbraces are more adaptable, which means they can exert the optimal amount of pressure needed to align teeth and roots simultaneously.
- Gentle Forces: The system applies gentle forces that are effective yet comfortable, reducing discomfort often associated with traditional braces.
- Faster Results: Since both the crown and root of the tooth are targeted at the same time, patients usually see visible results much quicker.
Why Consider Fastbraces?
Choosing Fastbraces offers several compelling benefits:
- Reduced Treatment Time: The most appealing feature is the significantly shorter duration of treatment compared to traditional braces.
- No Teeth Extraction Needed: One of the most significant benefits of Fastbraces is that they typically eliminate the need for tooth extractions. This is particularly advantageous for patients with crowded teeth, as Fastbraces are designed to create more space in the mouth without the need for removing any teeth. Instead, they focus on moving the roots of the teeth into their proper positions right from the beginning of the treatment.
- Comfort: Many patients report less discomfort due to the gentle forces applied throughout the treatment.
- Fewer Appointments: With faster progress, patients typically require fewer visits to the orthodontist, saving time and effort.
- Improved Oral Health: Correctly aligned teeth can lead to better oral hygiene and reduce the risk of dental issues in the future.
Is Fastbraces Right for You?
If you’re considering orthodontic treatment but are hesitant about the long duration of traditional braces, Fastbraces might be an ideal solution. They are suitable for both children and adults looking for a quicker path to a healthier, more beautiful smile.
Consultation: Schedule a consultation with us to discuss your specific needs and determine if Fastbraces are the right choice for your orthodontic goals.
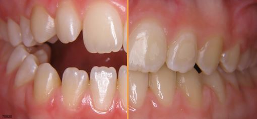
Check out the incredible before-and-after results achieved in a very short period of time by clicking this link! https://fastbraces.com/before_and_after

